名古屋オルカ歯科・矯正歯科 インプラントメインビジュアル

〒461-0048 愛知県名古屋市東区矢田南3-4-3

11台の地上平置き駐車場

噛めるだけでなく、
自信を取り戻してほしい。
それが私たちの願いです。

無料相談

実施中

土日診療

対応

無料相談

実施中

土日診療

対応

自分の歯のように
過ごせる嬉しさ

インプラント治療をすることで

  • おいしく食事ができるようになる

    硬いものや食感のある料理を楽しめる!

  • 他の歯を守り将来の歯を減らさずにすむ

    健康な歯を削らないため、他の歯の寿命を延ばせる!

  • 日常生活がシンプルで快適になる

    入れ歯のように「外す・洗う・管理する」手間がない!

  • 健康寿命が延びる可能性がある

    噛むことで認知症予防に!消化を助け、全身の健康にもメリットがある!

  • 大好きなおせんべいを
    また食べられるようになった♪
  • 孫と笑って写真が
    撮れるようになった^^
  • 話しづらさがなくなって、
    会話が楽しくなった☆

名古屋オルカ歯科・矯正歯科は

あなたの生活を豊かにする治療
心をこめて行います

こんな方におすすめしています

Recommended for the following people

入れ歯が合わない方

入れ歯が合わない方

入れ歯が痛い、外れる、噛めないとお悩みの方へ

ブリッジ治療を繰り返している方

ブリッジ治療を繰り返している方

ブリッジ治療を繰り返しており、徐々に
歯の本数が少なくなってきた方へ。

他院でインプラントを断られた方

他院でインプラントを断られた方

「当院では対応できません」と
言われてしまった方へ。

「虫歯/歯周病」でボロボロの方

「虫歯/歯周病」でボロボロの方

虫歯や歯周病を放置してしまい、歯が
ボロボロ/グラグラになってしまった方へ。

今のインプラントに不具合が出た

今のインプラントに不具合が出た

インプラントの再治療を希望されている方へ。

「セカンドオピニオン」を希望

「セカンドオピニオン」を希望

どの治療にしようか悩まれている方、
進行中の治療が不安になってきた方へ。

まずは状態を見て治療法を決めていきます
まずは無料相談でお気軽に
お問い合わせください

まずは 無料相談へ!

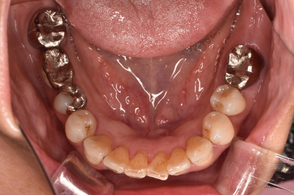
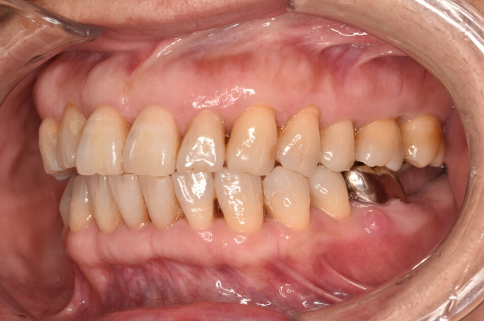
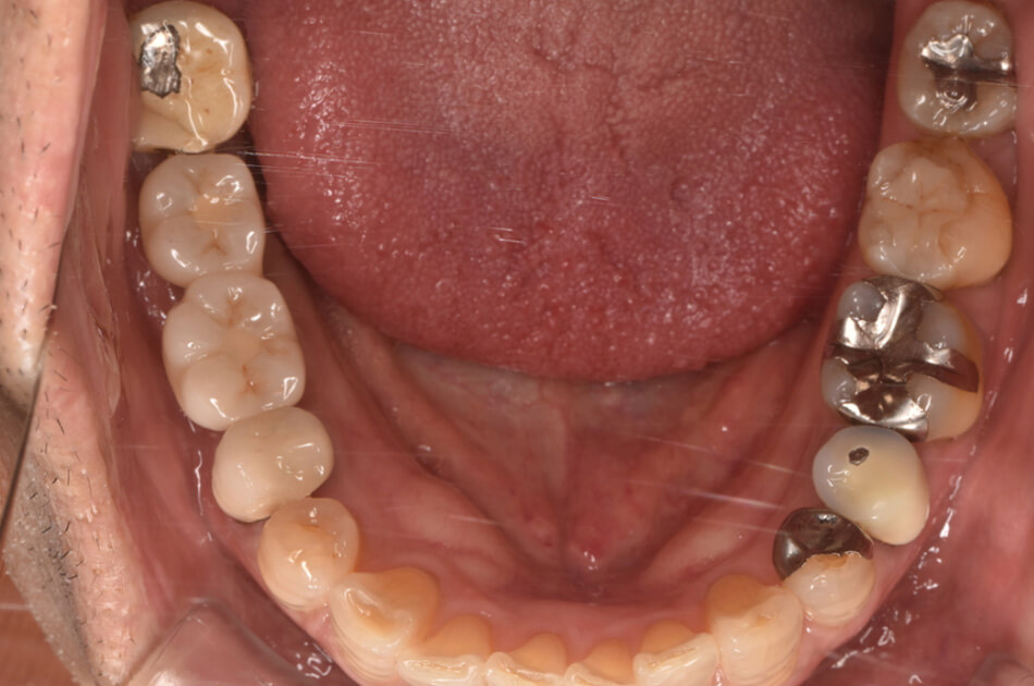
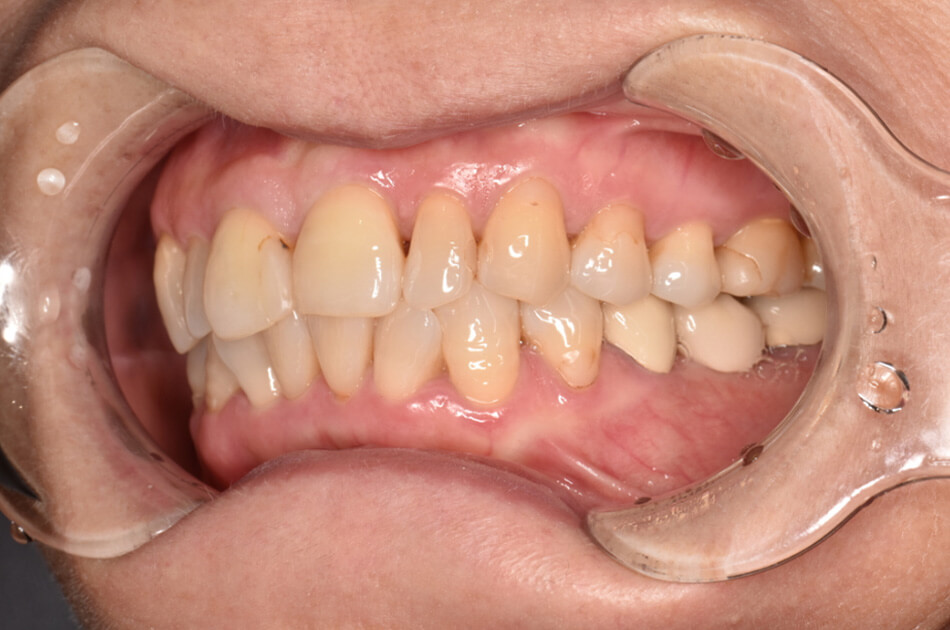
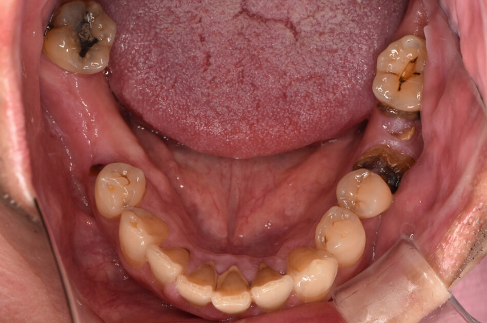
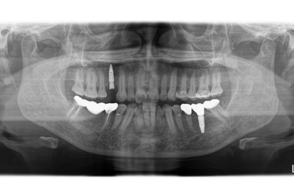
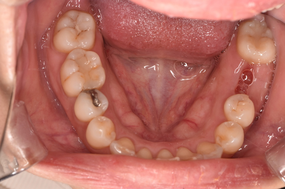
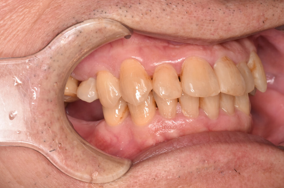
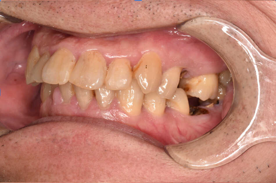
こんなにも変わる

症例紹介

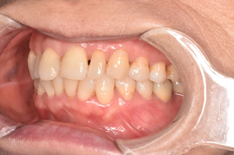
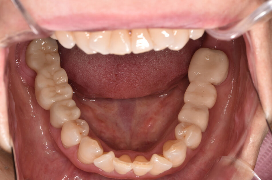
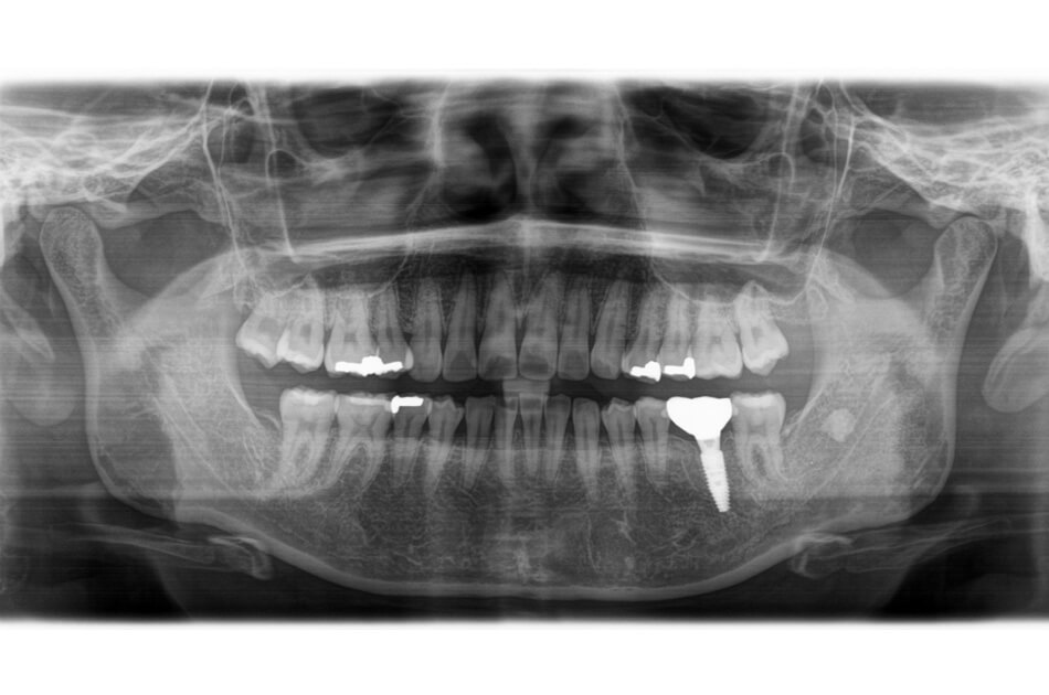
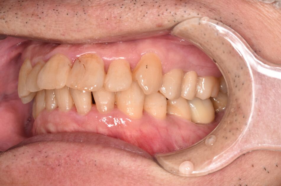
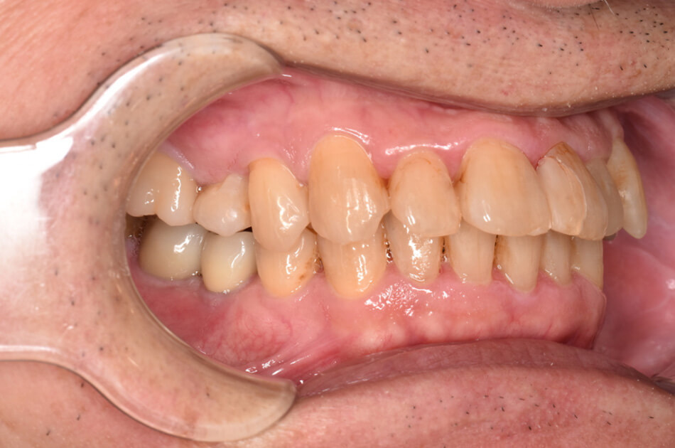
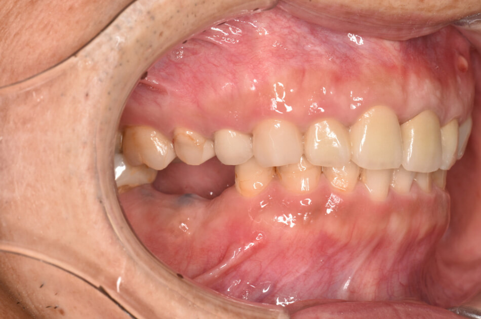
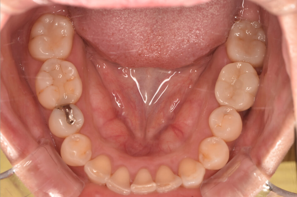
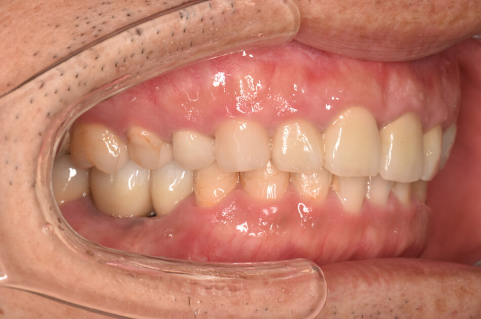
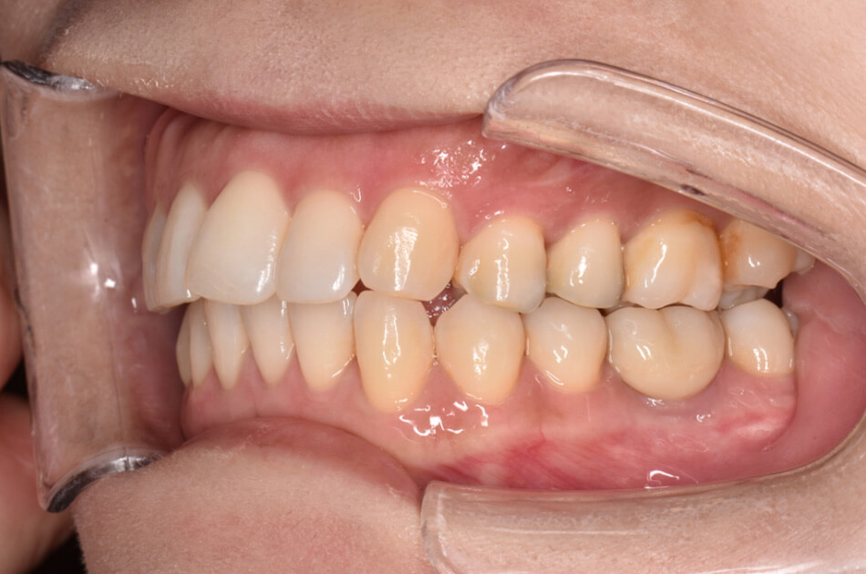
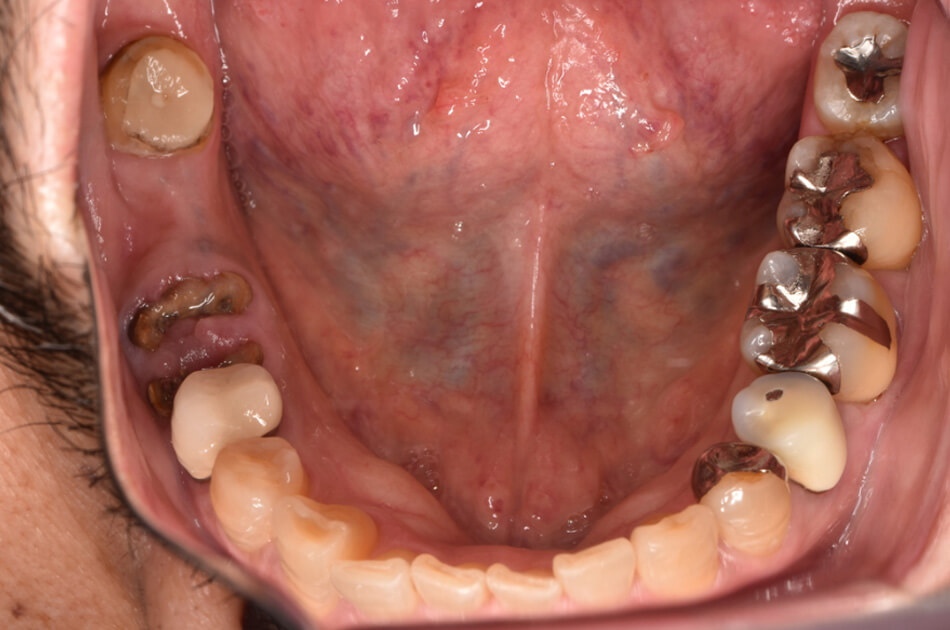
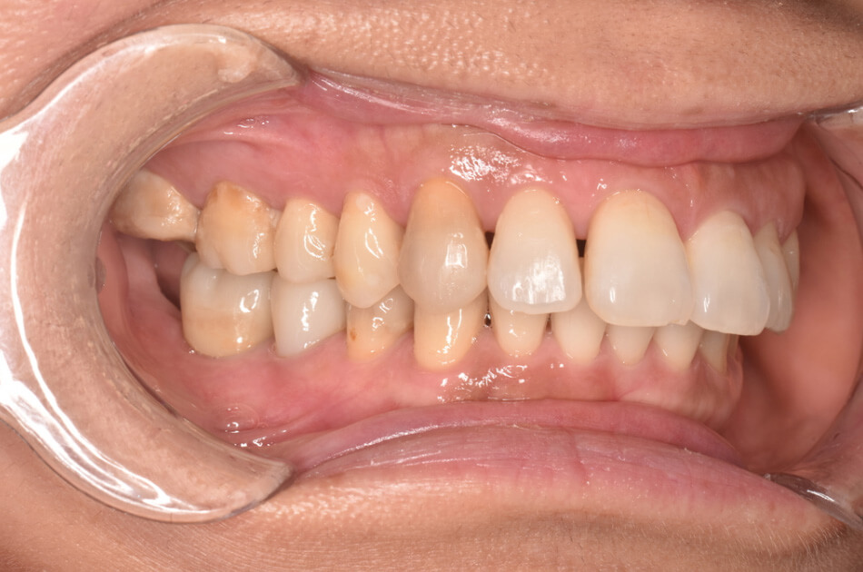
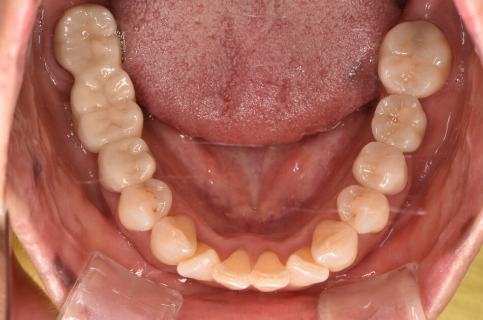
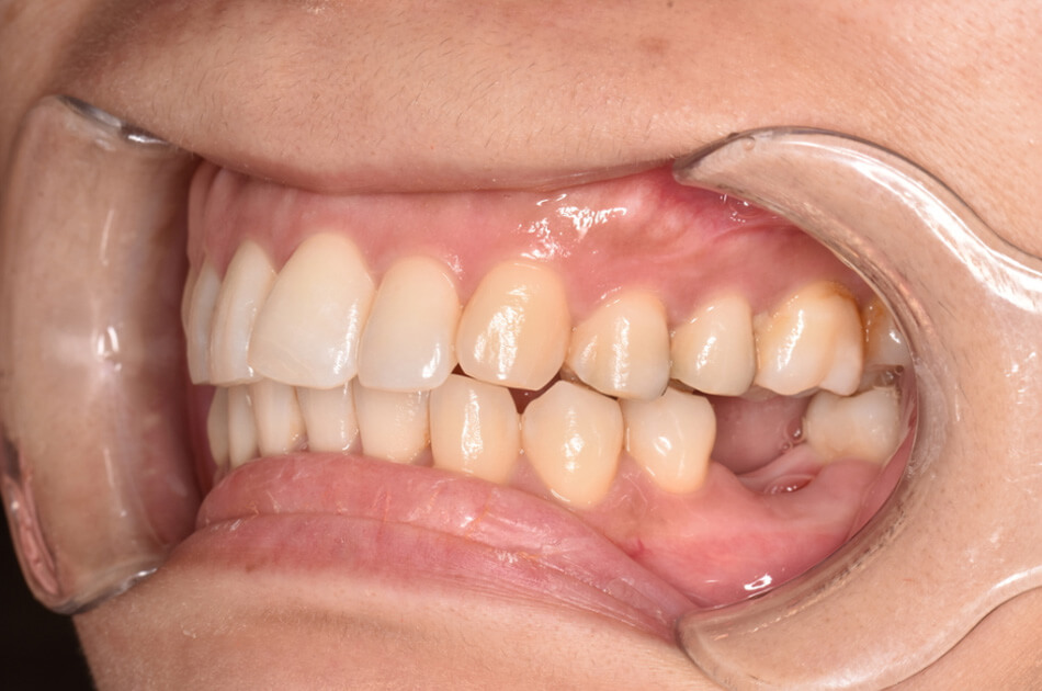
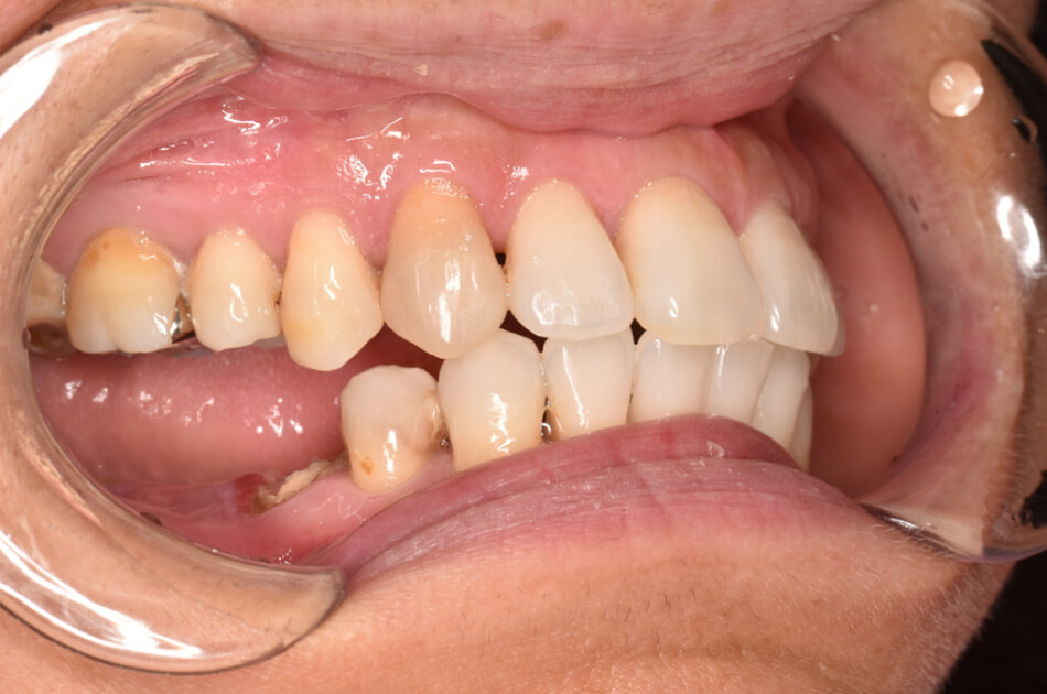
CASE 01

20代女性 右下6インプラント

Before

After

施術前の口内写真01施術前の口内写真03施術前の口内写真05
施術前の口内写真02施術前の口内写真04施術前の口内写真06

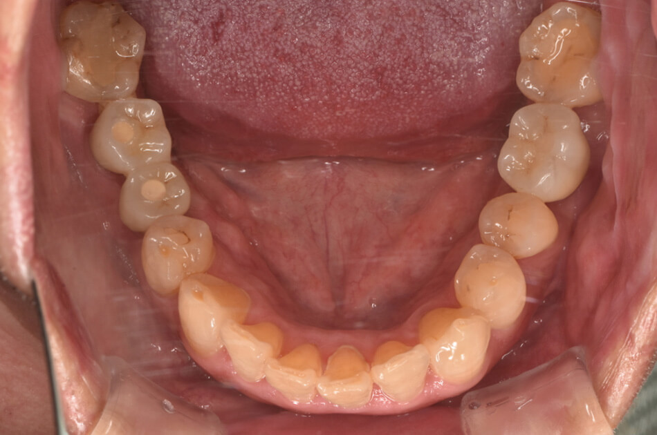
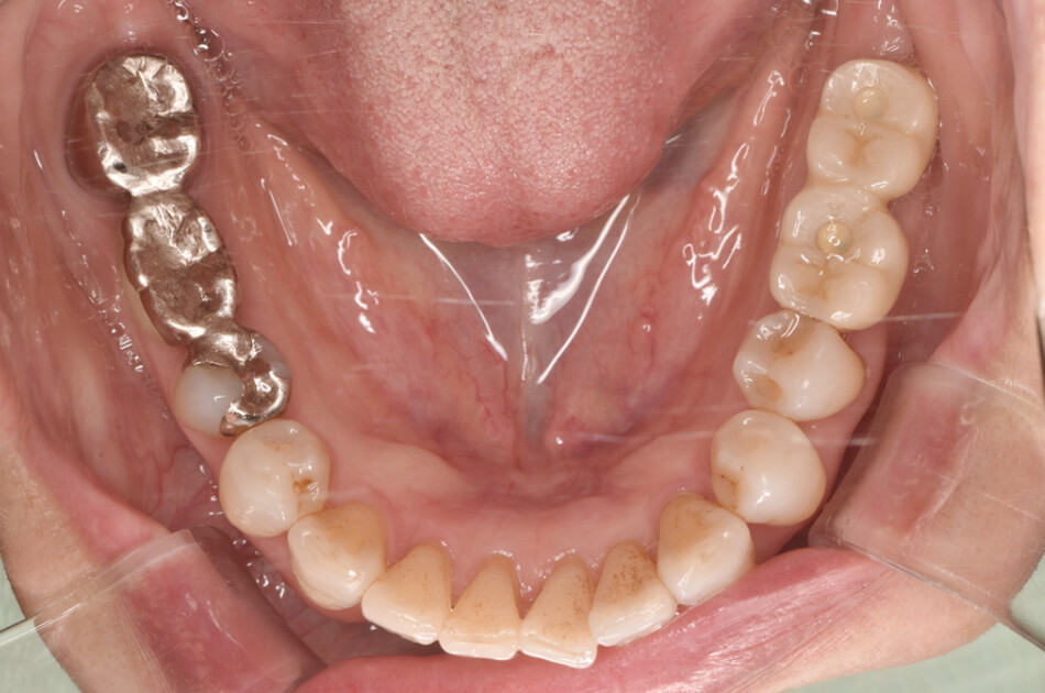
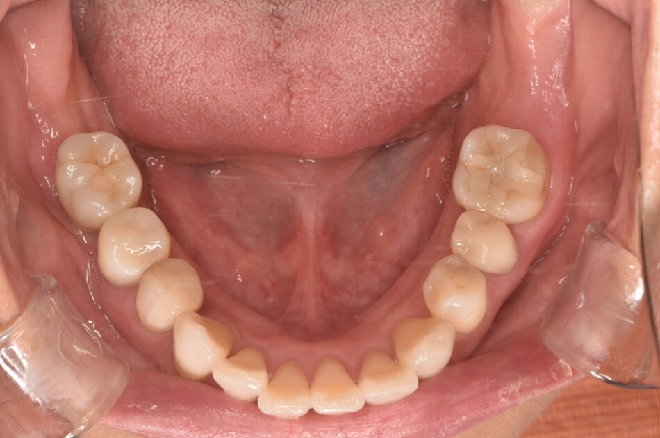
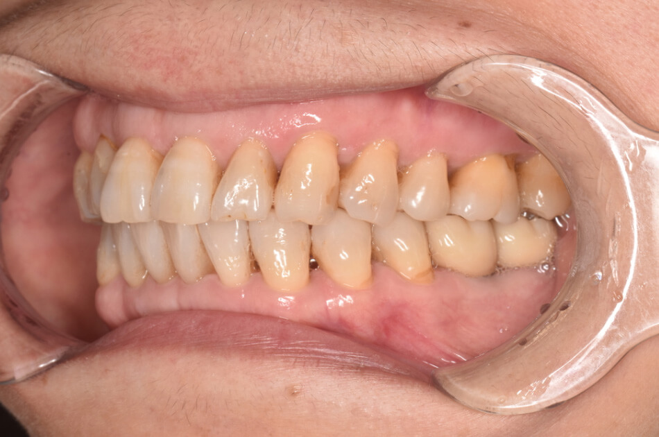
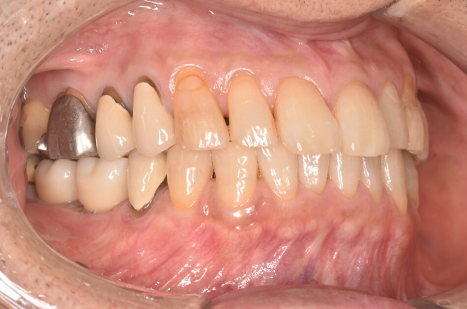
CASE 02

40代男性 右下56インプラント

Before

After

施術前の口内写真01施術前の口内写真03施術前の口内写真05
施術前の口内写真02施術前の口内写真04施術前の口内写真06

CASE 03

40代女性 右下6インプラント

Before

After

施術前の口内写真01施術前の口内写真03施術前の口内写真05
施術前の口内写真02施術前の口内写真04施術前の口内写真06

CASE 04

50代女性 左下67インプラント

Before

After

施術前の口内写真01施術前の口内写真03施術前の口内写真05
施術前の口内写真02施術前の口内写真04施術前の口内写真06

CASE 05

60代女性 左下6インプラント

Before

After

施術前の口内写真01施術前の口内写真03施術前の口内写真05
施術前の口内写真02施術前の口内写真04施術前の口内写真06

CASE 06

60代男性 右下67インプラント

Before

After

施術前の口内写真01施術前の口内写真03
施術前の口内写真02施術前の口内写真04

CASE 07

70代男性 右下67インプラント

Before

After

施術前の口内写真01施術前の口内写真03施術前の口内写真05施術前の口内写真04
施術前の口内写真02施術前の口内写真04施術前の口内写真06施術前の口内写真08
名古屋オルカ歯科・矯正歯科の

POINT

POINT 01

術前の精密計画が 治療を決める。

術前の精密計画が治療を決める。

予後が良好、
痛みの少ない治療が可能

CT×口腔内スキャナー

様々な機器を使用して
正確な術前計画を作成します

cone beam ct

三次元(3D)画像が撮れるX線CT装置

コーンビームCT

骨の量・形・神経・血管など
「内部構造」を3Dで確認

「見えないところが見えるようになる」ことで、治療に対する不安が減り、納得と満足につながるのがCBCTの大きなメリットです。

三次元(3D)画像が撮れるX線CT装置 コーンビームCT
iTero

歯の形、歯ぐき、咬み合わせなど
「表面構造」をスキャン

口腔内スキャナー

「歯の表面・歯並び・咬み合わせ」などを
ミクロン単位で再現。

iTero(アイテロ)は、従来の歯型採取(粘土のようなものでの型取り)よりもはるかに「高精度」で負担が少ないのがメリットです。

歯の形、歯ぐき、咬み合わせなど「表面構造」をスキャン 口腔内スキャナー

CT「骨の内部構造データ」
口腔スキャナーで得た
「口腔表面のデータ」を合成して、
正確なサージカルガイド作製
治療計画に活用します

この治療計画が術後を決める

Surgical Guide

CTデータと、口腔スキャナーで得たデータに基づいて作成され、
インプラントの埋入位置角度深さガイドする役割をします

サージカルガイド

サージカルガイドの

患者様のメリット
サージカルガイドの患者様のメリット
  1. 計画通り正確な位置にインプラントを埋入可能

  2. 手術時間の短縮により患者さんの負担が少ない

  3. 神経や血管などの重要な組織を避ける

  4. 切開や剥離が最小限で済む

綿密な計画で、
痛み負担の少ない手術
にします!

POINT 02

確実な品質で 負担の少ない インプラント使用

確実な品質で負担の少ないインプラントを使用
  • 高品質
  • 審美性
  • 信頼
    安心
stratraumann

世界ブランド

ストローマン

「ストローマン(Straumann)」は、世界的に有名なスイスのインプラントメーカーでトップブランドのひとつとされています。
50年以上の豊富な実績を誇っています。
骨との結合が速く、治癒期間が短縮されるのが特徴です。

世界ブランド ストローマン
  • 世界70か国以上で使用されており、
    シェア・信頼度ともにトップクラス
  • 製品は高品質・高い生存率
DIO Implant

デジタル技術に特化

DIOインプラント

韓国のDIO社が提供するインプラントシステムで、デジタル技術に特化しているため、切らない・縫わない手術が可能です。
紫外線(UV)を照射することで骨との結合を早める効果が期待されており、当院の佐藤院長もこの研究に携わっていました。

デジタル技術に特化 DIOインプラント
  • デジタル化(DIO NAVI)により、切開しない・縫わない手術が可能
  • 紫外線照射により、骨との結合スピードが早い
患者様のメリット
  1. 骨と結合しやすく、治療期間が短くなる

    通常3~6ヶ月かかる治癒が、最短4週間で可能なことも。早く噛めるようになり、治療期間が短縮できます。

  2. 歯ぐきを大きく切開しない・縫合しない手術で負担軽減

    CTと口腔内スキャンをもとに3Dシミュレーションで正確な位置にガイド(マウスピース状)を作成し、必要最小限の穴(パンチ)だけで埋入が可能です。

  3. インプラントの寿命が長い

    高品質なチタン素材と精密な加工で、耐久性・生体親和性が高い。一度入れたら、長く使える安心感があります。

  4. 歯ぐきとなじみやすく、見た目がきれい

    人工歯と歯ぐきの境目が自然に見える設計のため、笑ったときも自然で美しい見た目です。
    人前で話す・笑うことに自信が持てます。

患者様に自信を持って
おすすめ
できるインプラント

です!

POINT 03

専用のオペ室完備。 手術は
安心できる空間で

専用のオペ室完備。手術は安心できる空間で

一般診療室とは完全に分離された、
手術専用のオペ室を完備。

感染リスクを抑えた清潔な環境で、
安心して手術を受けられます。

一般診療室とは完全に分離された、手術専用のオペ室を完備。
  1. 最新の設備徹底した衛生管理で、感染リスクが抑えられて安心できる
  2. 特化したプロの手術環境により成功率が高く、長く快適に噛める未来が手に入る
  3. プライバシーが守られてリラックスできる環境で、落ち着いて治療ができる
安全にオペを行うための最新設備と世界基準の「滅菌体制」
高水準 徹底
管理

安全にオペを行うための最新設備と
世界基準の「滅菌体制」

設備投資に一切妥協はしません

インプラント手術では、見えないところでの感染リスクが大きな課題です。
当院では、ヨーロッパ基準の最高水準である「クラスB滅菌器(W&H社 LISA)」を導入。
外科用器具の内側まで完全に滅菌し、安心・安全な手術環境を徹底しています。

  • 中が空洞の器具や細いチューブ内部まで完全に滅菌
  • 医療事故・感染トラブルを絶対に起こさない、徹底した管理
POINT 04

矯正治療中・ ブリッジかぶせ物がある。 そんな方も可能です

矯正治療中・ブリッジやかぶせ物がある。そんな方も可能です 画像01
矯正治療中・ブリッジやかぶせ物がある。そんな方も可能です 画像02
矯正治療中・ブリッジやかぶせ物がある。そんな方も可能です 画像03

矯正治療中の方の疑問…

矯正治療中の方の疑問…
“ 歯をきれいに整えたい ”
でも矯正治療と・インプラント
どっちを先にしたらいかわからない。
矯正中だけど、抜歯することになり
インプラントが必要となった。でも
どうしたらいいかわからない。

ブリッジ・かぶせ物
がある方の疑問…

ブリッジ・かぶせ物がある方の疑問…
かぶせ物を外すのが大がかりで
インプラントは難しいのでは?
かぶせ物したから
もう治療は終わったと思っている

他の治療と、インプラント治療
両立が可能です!

複雑な組み合わせには
矯正歯科と口腔外科がある
当院にお任せください!

当院では、矯正治療中、かぶせ物や詰め物を行っている歯があってもインプラント治療を行うことができます。
矯正とインプラントを両立させることで理想的な歯を作ることができ、治療の完成度や効率が上がる可能性もあります。
当院では[かぶせ物・詰め物][矯正][インプラント]それぞれのの専門知識をもつ医師が治療にあたります。

POINT 05

納得して開始できる わかりやすい治療費

納得して開始できるわかりやすい治療費

当院では、治療を開始する前に
治療費の「総額」をご案内
しております!

矯正治療にかかる費用は追加の費用はかかることはありません。

相談は無料
行っております

インプラント1本
インプラント1本

49.5 万円

  • 精密検査 55,000円
  • 1次手術 220,000円
  • 上部構造 220,000円
インプラント2本
インプラント2本

93.5 万円

  • 精密検査 55,000円
  • 1次手術 440,000円
  • 上部構造 440,000円
インプラント3本
インプラント3本

115.5 万円

  • 精密検査 55,000円
  • 1次手術 440,000円
  • 上部構造 660,000円

患者様の口腔内の状態によって
必要な処置を行います

GBR

インプラント(人工歯根)を埋め込むための顎の骨の高さ・幅・厚みが不足している方に必要な骨を足す処置です。

55,000(税込)

ソケットリフト

こちらも骨を作る処置です。上あごの奥歯ある上顎洞というスペースの影響で、骨が薄い方もいらっしゃいます。

55,000(税込)

サイナスリフト

こちらも上あごの奥歯の骨を作る処置です。必要な骨量・全身状態・手術リスクなどを総合的に考慮して、歯科医が選択します。

220,000(税込)

「デンタルローン」 ご負担を少なく

一括でお支払いが難しい方でも
分割でのお支払いが可能です!

当院でのお支払方法

現金一括
現金一括
クレジットカード
クレジットカード
デンタルローン
デンタルローン

JACCSデンタルローン
「Dentcure」提携

デンタルローンとは

医療ローンの1つで、歯の治療をするために利用できるローンのことを「デンタルローン」と呼びます。大きな治療費を要する場合や、保険がきかない治療に利用できます。

歯の治療はすぐに命にかかわることが少ないため、保険適用外となってしまっている治療もたくさんあります。 お金がかかるからと、深刻に考えず長年放置してしまっている人もいるかもしれません。 しかし長い目で見れば、歯の健康は歯そのものの寿命につながり、なにもせずに放置しつづけてしまうと大切な自分の歯を失ってしまうこともあります。

治療はしたいけどなかなか高額で手が出せない・・・
そんな時に検討していただきたいの方法がデンタルローンです。

なんと!
24回(2年分)まで金利を
負担いたします

24回まで金利無料サービス

インプラント総額100万円
の場合
頭金(申込金)
0円
お支払回数
24回(2年)
分割払い手数料率
4.3%43,000円
当院が負担します!
医療費控除も適応の場合も

条件を満たせば医療費控除の対象になります。
矯正治療費の他にも、通院のための交通費も医療費に含まれます。悩む前にぜひご相談ください!

POINT 06

通院しやすい クリニックです

通院しやすいクリニックです
  • 「土日祝」も診療
  • 24時間「ネット予約」可能
  • 「予約枠」を多く確保
  • 「駐車場」完備
  • 駅から「徒歩8分」

「予約しよう!」と思っても、予約が1カ月後、2カ月後の歯科医院も多いのではないでしょうか?
せっかくインプラント治療をしようと思ってくれたのに後回しにしてほしくない... !
当院は多くの患者さんが来院・通院しやすいように、環境を整えています。

チェア台数や歯科医師の人数を多くすることで、予約枠を確保しました。お忙しい方でも通いやすいように、土日祝も診療しています。

ナゴヤドーム前矢田駅から徒歩8分、駐車場も11台完備しているため、通院しやすい歯科医院です。

名古屋オルカ歯科・矯正歯科は

インプラント治療だけではなく
一般歯科 にも自信あり!

お任せ
ください!

“残せる歯は残す”
でもダメなときには
“確実な代替”

歯の寿命をできるだけ延ばすには、
根の治療(根管治療)が第一選択になります。
でも、もしその歯が残せないと判断されたときに、次に選ばれるのがインプラントです。
当院では、“残せる歯は残す”、でもダメなときには“確実な代替”として
インプラント治療を提供しています。

まずは歯を残す治療を

根管治療

根管治療

歯の神経(根っこの中)に炎症や感染が起きたときに、その神経や細菌を取り除いて、歯を抜かずに残すための治療です。

当院は、いきなり抜いてインプラントにするのではなく、他の方法もご提案いたします。

虫歯治療

虫歯治療

虫歯が再発して治療の繰り返しになると、歯がもたなくなりインプラントを選ぶことになります。

  • 虫歯治療
  • 虫歯予防

歯周病治療

歯周病治療

歯を失う最も多い原因は歯周病なんです!
歯周病が残っていると、インプラントの失敗リスクが高まるため、しっかり治します。

  • 歯周病治療
  • 継続的な歯周病ケア
インプラント

治療の流れ

STEP01

無料相談

患者様のお悩みをお伺いしていきます。
インプラントだけではなく入れ歯やブリッジなど複数の治療の選択肢をご提示しますので、一緒に考えて決めていきましょう!

STEP02
精密検査

精密検査

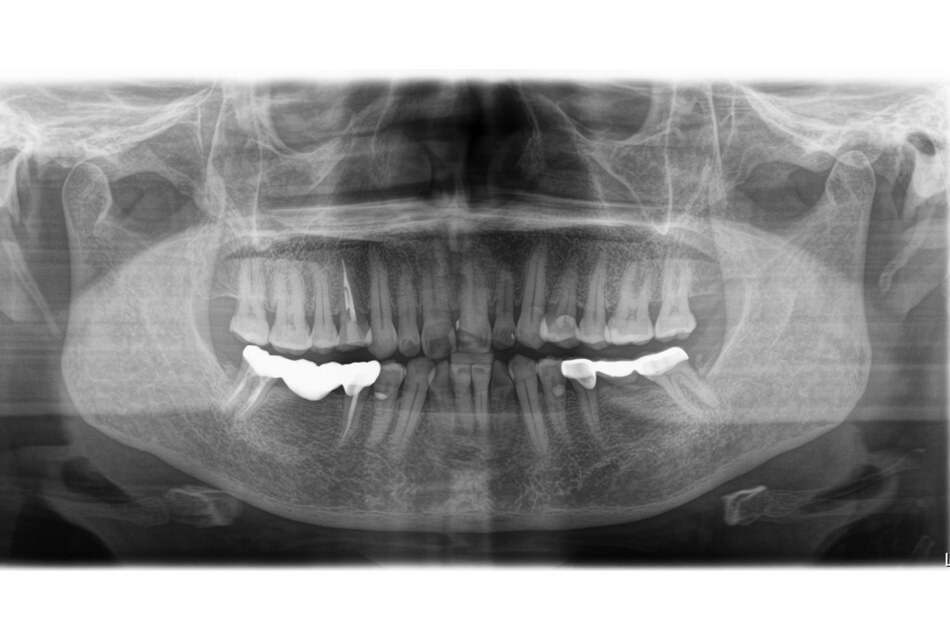
口腔内診査、歯周検査、CT撮影を行い、治療計画を立案します。
同時に手術時に考えられるリスクや、周辺の歯に潜んでいたリスクを洗い出します。場合によりほかの治療を優先して行うこともあります。

STEP03
カウンセリング

カウンセリング

作成した資料をもとに治療計画をもとにカウンセリングを行います。
治療期間・費用についてもこの段階で決まりますので不明点の無いようご説明いたします。

STEP04
手術の1週間前

手術の1週間前

実際に埋入することを想定しながら、サージカルガイド(設計通りに穴を開けるためのマウスピース)を試適します。また、口腔内のクリーニングをします。

STEP05
1次手術

1次手術

まず顎の骨にインプラント(歯の根に当たる部分)を埋め込む手術を行います。衛生管理の整った手術室で行いますのでご安心ください。

STEP06
オペ翌日

オペ翌日

翌日に手術部位の消毒と経過観察のために来院していただく場合がございます。詳しくはスタッフよりご案内があります。

STEP07
アバットメント交換

アバットメント交換

上顎なら2〜3ヶ月、下顎なら1〜2ヶ月でレントゲンの撮影を行います。
骨とインプラントの結合が確認できれば、歯を入れるための準備をはじめます。インプラントは歯の根に当たる部分ですが、次は歯の土台となる部分であるアバットメントというものを装着します。

STEP08
精密印象(型取り)

精密印象(型取り)

最終的な歯を作るための型取りをします。

STEP09
仮歯の装着(最終の被せ物の装着)

仮歯の装着
(最終の被せ物の装着)

まずは仮の歯をつけて試しに普通に生活していただきます。
噛み合わせ、見た目などの状態を確認しながらしばらく使用していき、 状態が良ければ最終的な被せ物に置き換えて治療はいったん終了となります。

STEP10
メンテナンス

メンテナンス

治療が終わった後も定期的なメンテナンスが重要になります。 また、年に1回はレントゲンでインプラントとその周囲に以上がないか、目に見えない部分も確認します。早い段階からケアとチェックを続けることで、万が一の以上にもすぐに対応が出来ます。

よくある質問

Q

インプラント手術は痛いですか?

A

手術中は麻酔をしっかり行いますので、痛みはほとんどありません。
手術後は腫れや違和感が出る場合もありますが、通常は数日で落ち着きます。痛み止めも処方いたしますのでご安心ください

Q

費用はどのくらいかかりますか?

A

インプラントは1本あたりの費用が目安となりますが、使用する素材や本数、治療計画によって異なります。
事前に精密検査を行い、お見積りを提示してから治療を開始いたしますので、安心してご相談いただけます。分割払い・デンタルローンのご利用も可能です。

Q

インプラントはどのくらい持ちますか?安全ですか?

A

適切なケアを行えば10年以上、20年近く使用される方も多くいらっしゃいます。
また、インプラントはチタン製で生体親和性が高く、骨としっかり結合するため安全性の高い治療法です。定期的なメンテナンスを受けていただくことで、長期的に安心してご使用いただけます。

院長ご挨拶

はじめまして。院長の佐藤です。
「インプラント」という言葉に、不安や迷いを感じる方は少なくありません。

本当に必要なのか、痛くないのか、費用は?——
たくさんの疑問があって当然です。

当院では、いきなり歯を抜いてインプラントを勧めるようなことはしません。まずは残せる歯かどうかを丁寧に診断し、必要であれば根の治療や他の方法も検討します。

それでも歯を失ってしまったとき、できるだけ長く、快適に、そして安心して噛めるように。
私たちは「自分の歯のように噛める」インプラント治療を、責任を持ってご提案しています。

まずはお話を聞かせてください。相談だけでも、いつでもお待ちしております。

院長 佐藤伸明 NOBUAKI SATO

略歴

私立東海高校 卒業
愛知学院大学歯学部歯学科 卒業
愛知学院大学歯学部大学院 歯学研究科 卒業 博士号取得

2014年〜2016年 : Y’sデンタルクリニック
2015年〜2016年 : しばた歯科
2016年〜2017年 : UCLA(カリフォルニア大学ロサンゼルス校)
2018年〜2020年 : I Dental Clinic

所属学会

・日本臨床口腔病理学会
・日本口腔インプラント学会
・日本矯正歯科学会
・日本小児歯科学会
・日本歯周病学会
・日本外傷歯学会
・日本アライナー矯正歯科研究会

医院紹介

医院内 画像1
医院内 画像2
医院内 画像2
医院内 画像3
医院内 画像4
医院内 画像5
医院内 画像6
医院内 画像7
医院内 画像8
医院内 画像9
医院内 画像10
医院内 画像11
医院内 画像1
医院内 画像2
医院内 画像3
医院内 画像4
医院内 画像5
医院内 画像6
医院内 画像7
医院内 画像8
医院内 画像9
医院内 画像10
医院内 画像11